Vertex AI là nền tảng thống nhất của Google Cloud dùng để xây dựng và quản lý các giải pháp trí tuệ nhân tạo (AI). Vertex AI cung cấp đầy đủ các công cụ cho từng bước trong quy trình học máy (machine learning) như chuẩn bị dữ liệu, gán nhãn, huấn luyện, đánh giá, triển khai và giám sát tất cả trong một môi trường duy nhất.
Nhờ đó, cả người mới bắt đầu lẫn các nhà phát triển giàu kinh nghiệm đều có thể dễ dàng chuyển từ dữ liệu thô sang một hệ thống AI hoàn chỉnh mà không cần lo về việc quản lý máy chủ hay mở rộng hạ tầng.
Sơ lược về Vertex AI
Vertex AI có khả năng hỗ trợ tích hợp sẵn cho các ứng dụng thị giác máy tính Người dùng có thể tải lên và gán nhãn hình ảnh, huấn luyện mô hình cho các tác vụ như phân loại hình ảnh, phát hiện đối tượng, phân đoạn, và sau đó triển khai các mô hình này trên đám mây để sử dụng ở quy mô lớn hoặc trên thiết bị biên để suy luận theo thời gian thực.
Nền tảng này cũng cung cấp AutoML, cho phép bạn huấn luyện mô hình với rất ít mã nguồn, đồng thời hỗ trợ tùy chỉnh mô hình khi bạn muốn kiểm soát sâu hơn cấu trúc và tham số huấn luyện.
Vertex AI kết hợp tự động hóa, khả năng mở rộng và tính linh hoạt, giúp các nhà nghiên cứu, doanh nghiệp và tổ chức ứng dụng thị giác máy tính cùng các kỹ thuật AI khác để giải quyết các vấn đề thực tế, chẳng hạn như phát hiện lỗi trong sản xuất, giám sát cây trồng trong nông nghiệp hoặc phân tích hình ảnh y tế đồng thời giảm bớt độ phức tạp của việc xây dựng hệ thống AI sẵn sàng cho vận hành.
>>> Xem thêm:
- Nguyên nhân và cách khắc phục lỗi bảo mật khi vào web
- TOP 10 AI thiết kế website miễn phí, trả phí, hiệu quả năm 2026

Các trường hợp sử dụng của Vertex AI
Vertex AI hỗ trợ nhiều quy trình thị giác máy tính như phân loại hình ảnh, phát hiện đối tượng và phân đoạn hình ảnh. Mỗi quy trình được thiết kế để cung cấp mức độ chi tiết khác nhau từ các nhãn đơn giản cho đến thông tin chính xác ở cấp độ pixel.
Phân loại hình ảnh
Vertex AI có thể huấn luyện các mô hình để phân loại toàn bộ hình ảnh. Điều này hữu ích khi mục tiêu chính là hiểu nội dung tổng thể của hình ảnh thay vì xác định vị trí các đối tượng cụ thể. Vertex AI hỗ trợ hai phương pháp phân loại sau:
Phân loại đơn nhãn
Phân loại đơn nhãn được sử dụng khi các danh mục loại trừ lẫn nhau. Ví dụ:
- Hình ảnh lá cây chỉ có thể là khỏe mạnh hoặc bị bệnh, nhưng không thể là cả hai cùng lúc.
- Một sản phẩm trong sản xuất có thể được gán nhãn lỗi hoặc không lỗi.
Phân loại đa nhãn
Phân loại đa nhãn được sử dụng khi các danh mục không loại trừ nhau, tức hình ảnh có thể mang nhiều đặc điểm cùng lúc (các nhãn có thể trùng hoặc cùng tồn tại). Ví dụ:
- Một cảnh đường phố có thể đồng thời được gán nhãn ban ngày, mưa, và đông xe trong lĩnh vực hạ tầng giao thông.
- Một hình ảnh cây trồng có thể được gắn cả hai nhãn bệnh sớm và thiếu dinh dưỡng trong nông nghiệp.
>>> Xem thêm: Thiết kế website bằng AI (trí tuệ nhân tạo) miễn phí

Phát hiện đối tượng
Vertex AI cho phép người dùng huấn luyện các mô hình phát hiện đối tượng, tạo ra khung giới hạn quanh các vật thể trong hình ảnh. Một số ví dụ ứng dụng:
- Phát hiện ốc vít hoặc linh kiện bị thiếu trên băng chuyền trong lĩnh vực sản xuất.
- Đếm số lượng chai nước ngọt trên kệ trong ngành bán lẻ.
- Phát hiện số lượng trái cây trên cây để ước tính sản lượng trong nông nghiệp.

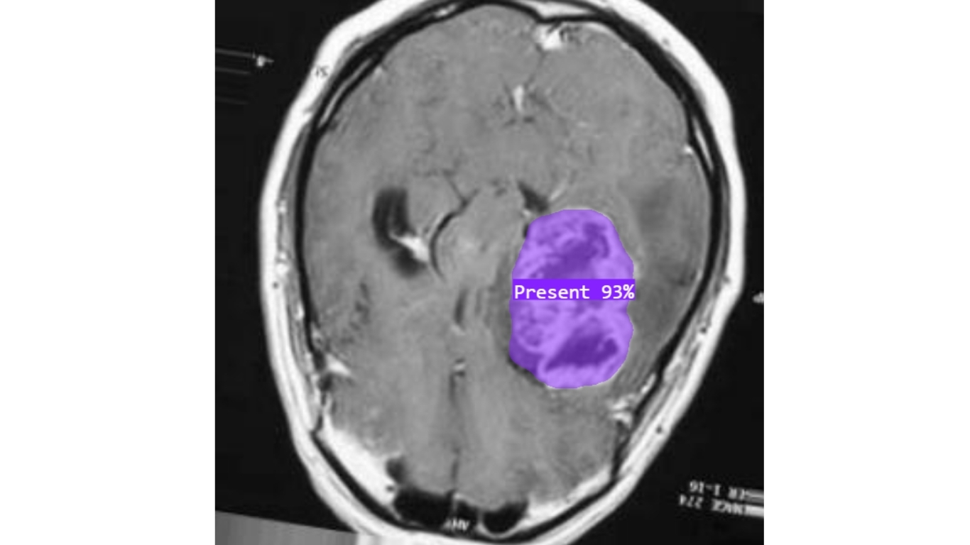
Phân đoạn hình ảnh
Vertex AI hỗ trợ huấn luyện các mô hình phân đoạn hình ảnh, giúp phân tích chi tiết hình dạng, ranh giới và các vùng quan trọng trong ảnh. Một số ví dụ ứng dụng:
- Khoanh vùng khối u trên ảnh MRI trong lĩnh vực chăm sóc sức khỏe.
- Đo diện tích lá bị bệnh hoặc phân đoạn cỏ dại trên cánh đồng trong nông nghiệp.
- Làm nổi bật các vết nứt trên mặt đường hoặc các vùng bị ăn mòn trên bề mặt kim loại trong ngành hạ tầng.

Cách sử dụng Vertex AI để xây dựng mô hình thị giác máy tính
Trong hướng dẫn này, chúng ta sẽ tìm hiểu cách xây dựng một mô hình thị giác máy tính bằng Vertex AI. Cụ thể, chúng ta sẽ tạo một mô hình phát hiện đối tượng để nhận diện ốc vít trong môi trường sản xuất. Quy trình end-to-end này sẽ hướng dẫn bạn cách tải dữ liệu, gán nhãn hình ảnh, huấn luyện mô hình bằng AutoML và chuẩn bị triển khai.
Dưới đây là các bước để xây dựng và huấn luyện mô hình bằng Vertex AI:
Bước 1: Tạo Project trong Google Cloud
Bước đầu tiên là tạo một project trong Google Cloud Console. Đây sẽ là không gian làm việc chứa dataset, mô hình, endpoint và các thiết lập thanh toán của bạn.
Để thực hiện, hãy đăng nhập vào Google Cloud Console, nhấn vào menu chọn Project ở đầu trang và chọn New Project. Đặt tên project (ví dụ: “screw-detection”), chọn tổ chức (nếu có) và nhấp Create.
Sau khi tạo xong, hãy liên kết project với tài khoản thanh toán và bật Vertex AI API. Khi project đã hoàn tất thiết lập, bạn đã có một môi trường riêng biệt để xây dựng và quản lý toàn bộ quy trình machine learning với Vertex AI.

Bước 2: Tạo Dataset
Bước tiếp theo trong Vietex AI là tạo một dataset. Trong mục Datasets của Vertex AI Console, bạn bắt đầu bằng cách đặt tên cho dataset (trong ví dụ này là “screws”) và chọn loại tác vụ phù hợp.

Đối với dự án này, chúng ta chọn Image → Object Detection, vì mô hình không chỉ cần phân loại hình ảnh mà còn phải xác định vị trí của từng chiếc ốc vít bên trong ảnh.

Tại bước này, bạn có thể nhập hình ảnh trực tiếp từ máy tính hoặc từ một bucket Google Cloud Storage. Trong ví dụ minh họa, mình đã tải một bộ hình ảnh về ốc vít lên nền tảng Vertex AI.

Bước 3: Tải lên và quản lý hình ảnh
Sau khi nhập dữ liệu, Vertex AI sẽ tiền xử lý các hình ảnh và lưu chúng vào một đường dẫn Cloud Storage bảo mật mà bạn chọn.

Bạn có thể xem dataset của mình trong tab Browse, nơi tất cả hình ảnh đã tải lên được hiển thị. Ban đầu, những hình ảnh này sẽ hiện trạng thái “No bounding boxes”, nghĩa là chúng vẫn cần được gán nhãn. Đây là điều bình thường, vì khi dataset mới được tạo, hệ thống chưa biết các đối tượng nào xuất hiện trong hình ảnh.

Bước 4: Gán nhãn hình ảnh
Gán nhãn là giai đoạn quan trọng nhất, vì đây là bước dạy cho mô hình biết những gì cần nhận diện. Trong giao diện labeling, bạn có thể tạo một nhãn mới, ví dụ: “screw”, sau đó vẽ bounding box quanh từng chiếc ốc vít trong hình ảnh. Để làm điều này, nhấn “Add new label” và đặt tên nhãn là “screw”.

Khi nhãn đã được xác định, bạn có thể nhấp vào hình ảnh và bắt đầu gán nhãn bằng cách vẽ các bounding box quanh các đối tượng.

Sau khi gán nhãn cho từng đối tượng trong hình ảnh, lưu lại các annotation. Điều này sẽ tạo thành một bộ annotation kết hợp dữ liệu hình ảnh với nhãn tương ứng. Trong các ứng dụng công nghiệp, sự nhất quán là vô cùng quan trọng: bất kể ốc vít lớn hay nhỏ, mỗi chiếc đều phải được bao quanh chính xác và chặt chẽ. Chất lượng của các annotation ảnh hưởng trực tiếp đến chất lượng mô hình được huấn luyện.
Bước 5: Huấn luyện mô hình
Khi việc gán nhãn hoàn tất, dataset đã sẵn sàng để huấn luyện mô hình. Trong quy trình huấn luyện, bạn sẽ bắt đầu bằng việc chọn phương pháp huấn luyện

Vetex AI cung cấp AutoML, tự động xử lý việc chọn kiến trúc mô hình và điều chỉnh siêu tham số, lý tưởng cho những người muốn đạt kết quả tốt mà không cần viết code. Sau đó, bạn chọn nơi mô hình sẽ chạy: trên đám mây để dự đoán trực tuyến, trên thiết bị biên để suy luận cục bộ, hoặc trong Vertex AI Vision cho video streaming. Đối với phát hiện ốc vít trong sản xuất, triển khai trên đám mây là điểm khởi đầu hợp lý.

Tiếp theo, bạn cung cấp chi tiết về mô hình, như tên mô hình và cách chia dataset thành các tập huấn luyện, kiểm tra và xác thực (thường là 80/10/10). Vertex AI có thể tự động thực hiện việc chia này.

Sau đó, bạn quyết định mục tiêu huấn luyện, ví dụ như tăng độ chính xác, tăng tốc dự đoán, hoặc cân bằng giữa hai yếu tố.

Khi xác nhận tùy chọn về tính toán và chi phí, bạn bắt đầu job huấn luyện. Hệ thống sẽ chạy trong phạm vi ngân sách được phân bổ, xử lý dataset và xuất ra một mô hình phát hiện đối tượng đã được huấn luyện.
Bước 6: Đánh giá kết quả
Sau khi quá trình huấn luyện kết thúc, Vertex AI cung cấp các chỉ số đánh giá như precision, recall, và mean average precision (mAP). Những chỉ số này giúp bạn hiểu được hiệu quả của mô hình trong việc phát hiện ốc vít trên các tập validation và test.
Với các dataset minh họa nhỏ, kết quả có thể chưa cao. Tuy nhiên, với việc sử dụng nhiều hình ảnh đã được gán nhãn hơn, bao gồm các điều kiện khác nhau như ánh sáng, góc chụp, và loại ốc vít khác nhau, mô hình sẽ được cải thiện đáng kể.
Bạn có thể xem chi tiết đánh giá thông qua tùy chọn “Model Registry” ở bảng điều khiển bên trái.
Bước 7: Triển khai và suy luận
Giai đoạn cuối cùng là triển khai mô hình. Trong Vertex AI, bạn có thể triển khai mô hình đã huấn luyện lên một endpoint để thực hiện suy luận thời gian thực . Điều này cho phép bạn kiểm tra hình ảnh trực tiếp trên console hoặc tích hợp endpoint vào pipeline sản xuất.
Trong kịch bản sản xuất, mô hình có thể được kết nối với camera trên dây chuyền lắp ráp, tự động quét từng sản phẩm và đánh dấu các bất thường như ốc vít bị thiếu.
Để kiểm tra mô hình, hãy truy cập trang “Deploy & Test” của mô hình đã triển khai, nơi bạn có thể tải lên hình ảnh riêng lẻ hoặc theo lô và thử nghiệm mô hình.

Dự án này minh họa cách Vertex AI đơn giản hóa toàn bộ vòng đời machine learning cho các ứng dụng thị giác máy tính. Bằng cách tạo project, tải lên và gán nhãn hình ảnh, huấn luyện mô hình qua AutoML, và triển khai lên đám mây, chúng ta đã xây dựng một hệ thống phát hiện ốc vít hoạt động, phục vụ kiểm soát chất lượng trong sản xuất.
Mặc dù ví dụ này sử dụng dataset nhỏ, mở rộng với nhiều dữ liệu huấn luyện đa dạng hơn sẽ giúp mô hình đủ mạnh để triển khai trong môi trường công nghiệp.
Cách sử dụng Roboflow cùng với Vertex AI
Roboflow mang đến nhiều tính năng giúp tăng cường hoặc bổ sung các hạn chế khi sử dụng kết hợp với Vertex AI.
Các lợi ích chính khi kết hợp Roboflow với Vertex AI
- Tinh chỉnh dataset: Dễ dàng nhập dữ liệu đã gán nhãn từ Google Vision AI vào Roboflow.
- Huấn luyện ở bất cứ đâu, triển khai ở bất cứ đâu: Chuyển các mô hình đã huấn luyện bằng Google Vision AI sang Roboflow để linh hoạt hơn.
- Cải thiện hiệu suất: Tạo vòng lặp khép kín bằng cách gửi dữ liệu từ các mô hình đang chạy trở lại Roboflow để tiếp tục cải thiện.
Các workflow thực tiễn
- Thu thập dữ liệu: Bắt đầu bằng việc thu thập hình ảnh hoặc khung video phù hợp với trường hợp sử dụng của bạn.
- Gán nhãn và tổ chức dữ liệu: Sử dụng Roboflow để gán nhãn, tổ chức, làm sạch dữ liệu, cân bằng phân phối lớp, và thêm các augmentation.
- Xuất dữ liệu sang định dạng Vertex AI hiểu: Khi dataset đã sẵn sàng, xuất dữ liệu sang định dạng mà Vertex AI có thể sử dụng (ví dụ Google Cloud AutoML), Roboflow cung cấp sẵn các công cụ chuyển đổi định dạng này.
- Huấn luyện mô hình: Huấn luyện mô hình tùy chỉnh trong Vietex AI sử dụng AutoML Vision hoặc job huấn luyện riêng, tận dụng hạ tầng có khả năng mở rộng của Google Cloud.
- Đánh giá và triển khai: Đánh giá mô hình và triển khai qua các endpoint của Vertex AI để mô hình bắt đầu dự đoán.
Thiết lập kết hợp Roboflow và Google Vision API
Bạn cũng có thể sử dụng Roboflow cùng Google Vision API theo chế độ hybrid:
- Bắt đầu bằng việc dùng Vision API cho các tác vụ phổ biến như phát hiện đối tượng.
- Khi API gặp khó khăn với các đối tượng hiếm hoặc lớp mới, thu thập các hình ảnh đó và gửi vào Roboflow để gán nhãn.
- Sau đó, huấn luyện một mô hình tùy chỉnh trong Roboflow hoặc Vertex AI để xử lý các trường hợp đặc biệt này.
- Trong ứng dụng, bạn có thể lập logic sao cho các tác vụ thường xuyên sử dụng Vision API, còn các trường hợp khó hoặc tùy chỉnh sẽ được xử lý bởi mô hình tùy chỉnh của bạn.
Sự kết hợp giữa Roboflow và Vertex AI mang đến một pipeline machine learning linh hoạt, giúp xây dựng hệ thống thị giác máy tính vừa chính xác, vừa sẵn sàng cho môi trường sản xuất.
Kết luận về Vertex AI
Khi kết hợp với các ưu điểm của Roboflow về gán nhãn dữ liệu, quản lý dataset, và triển khai linh hoạt, Vertex AI có thể được sử dụng để xây dựng các pipeline AI mạnh mẽ, liên tục cải thiện theo thời gian.
Sự kết hợp giữa Vertex AI và Roboflow giúp hạ thấp rào cản tiếp cận, đồng thời cung cấp tính linh hoạt ở cấp độ doanh nghiệp, hỗ trợ các nhà nghiên cứu và doanh nghiệp triển khai các mô hình thị giác máy tính mạnh mẽ, giải quyết các vấn đề thực tế một cách hiệu quả và quy mô.
Nguồn tham khảo: What Is Vertex AI? Google Cloud’s Machine Learning Platform
TOT là đơn vị tiên phong trong hành trình chuyển đổi số. Chúng tôi mang đến giải pháp thiết kế website, mobile app và viết phần mềm theo yêu cầu với dịch vụ linh hoạt, tối ưu theo đúng nhu cầu của doanh nghiệp.
Lấy cảm hứng từ triết lý “Công nghệ vì con người”, TOT giúp doanh nghiệp vận hành hiệu quả hơn, nâng tầm trải nghiệm khách hàng và tạo dấu ấn bền vững cho thương hiệu.
Thông tin liên hệ TopOnTech (TOT):
📞 Hotline/WhatsApp/Zalo: 0906 712 137
✉️ Email: long.bui@toponseek.com
🏢 Địa chỉ: 31 Hoàng Diệu, Phường 12, Quận 4, Thành phố Hồ Chí Minh, Việt Nam
